Skip Menu
Continue

18 Leroy Street, Binghamton, NY 13905
(607) 723-8377
Logo
  • Home
  • About Us
    • Staff
    • History
    • Office Tour
    • Why Choose Us
    • Smile Gallery
    • Dental Videos
    • Testimonials
    • Join Our Team
  • Membership Plan
  • Our Doctors
    • David Salomons, DDS
    • Adam Underwood, DDS
  • Procedures
  • Technology
  • Patients
    • First Visit
    • Billing & Financial
    • Privacy
  • Careers
  • Online Bill Pay
  • Contact
    • Contact Us
    • Request Appointment

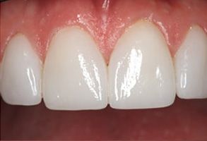
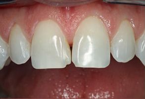
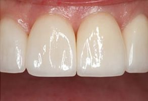
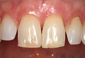
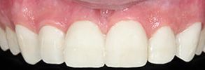
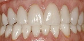
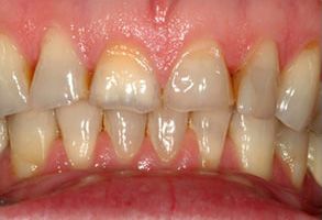
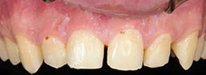
Smile Gallery

Nothing brightens up your day more than a smile! At Triple Cities Family Dental, PC we are dedicated to helping you achieve your best smile. Photos below show how we were able to transform some of our patients smiles!

From routine checkups and cleanings to cosmetic treatments like teeth whitening and veneers, we want your smile to be something that you are proud to show off. If you are looking for a dentist who truly cares about helping you achieve your healthiest and happiest smile, call us at 607-723-8377 to schedule an appointment.

18 Leroy Street,
Binghamton, NY 13905